Cazuri clinice

Zâmbete transformate, cazuri reale

Înainte

După

Înainte

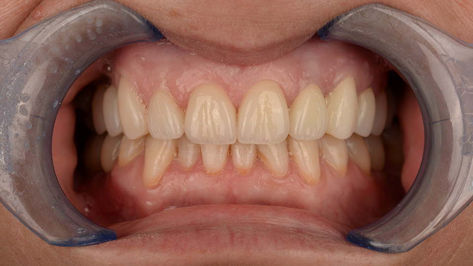
După

Înainte

După

Zâmbete modificate radical în doar o zi cu dantură fixă!

Dantură fixă în
24 de ore în București

Rapid și fără durere!

Fă-ți o programare

Transformările pacienților noștri cu dantură fixă!

Fotografii ale pacienților cu zâmbete noi

Recenzii Pacienți

Transformăm zâmbetele și oferim rezultate de excepție prin
intermediul materialelor de calitate superioară și a tehnologiilor inovatoare.

5.0/5.0

247+

Recenzii Verificate

100%

Pacienți Mulțumiți

Un centru de reabilitare de nota 10, am fost ieri pentru o extracție de masea de minte semi-inclusa la Dl doctor Carl Moussa, am fost foarte mulțumit de igiena cabinetului și de profesionalismul domnului doctor, extracția a durat cam 15-20 de minute, nu am simțit nimic, disconfort minim. Recomand cu drag

Paul Costache

Pacient

Va multumesc mult domnule doctor Carl Moussa pentru profesionalismul, grija si sustinerea pe care mi-ati oferit-o. Datorita dvs. eu ma simt bine dupa interventia chirurgicala recenta. Sincere multumiri pentru serviciile medicale pe care le-am primit de la personalul clinicii pe toata durata interventiei cat si la montarea lucrarii provizorii. Recomand cu toata increderea pentru profesionalism, amabilitate si promtitudine!

Claudia Enache

Pacient

Recomand cu încredere această clinică unde am avut o experiență excelentă.Am fost întîmpinată de un personal amabil și profesionist.In această clinică toate tratamentele sunt de calitate,rapide și ceea ce m-a impresionat cel mai tare fără durere.Aparatura este de înaltă calitate ca și medicii de-altfel.Recomand cu drag!!!!

Cristina Popescu

Pacient

Echipa de medici stomatologi este foarte bine pregatita profesional și foarte amabili, aparatura de calitate, igiena și curățenie ireproșabile. Recomand cu încredere aceasta clinica tuturor celor care își doresc servicii stomatologice de calitate!

Odeh Mariana

Pacient

Informații de contact

Solicită o programare

    Prin folosirea acestui formular sunteți de acord cu stocarea și folosirea datelor introduse

    Sună acum Contact pe WhatsApp Messenger